Λ. Δημοκρατίας 16Α, Ωραιόκαστρο Θεσσαλονίκης • Τηλ: 2310694535 • info@mentiperiodontologos.gr

Περιοδοντική Θεραπεία

Περιοδοντολόγος, Χειρουργός Οδοντίατρος Α.Π.Θ. Σοφία Μεντή DDS, MSc

Ο θεραπευτικός σχεδιασμός συνυπολογίζει τη βαρύτητα της περιοδοντικής κατάστασης του κάθε ασθενούς, καθώς και την τοπική ή στοματική και συστηματική ή γενική υγεία του, ώστε η θεραπεία να είναι αιτιολογική και αποτελεσματική.

Διάγνωση

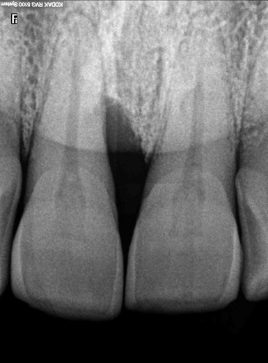
Η διάγνωση για τη νόσο (ουλίτιδα ή περιοδοντίτιδα), την έκτασή της (εντοπισμένη ή γενικευμένη σε όλο το στόμα) και τη βαρύτητά της (αρχόμενη, μέτριας ή προχωρημένης βαρύτητας), τίθεται μετά από κλινική και ακτινογραφική εξέταση.

Κατά την κλινική εξέταση αξιολογούμε:

  • Την αιμορραγία των ούλων
  • Το βαθμό και την έκταση συσσώρευσης πλάκας και πέτρας
  • Το βάθος της ουλοδοντικής σχισμής
  • Το βαθμό υποχώρησης των ούλων
  • Την κινητικότητα των δοντιών
  • Την παρουσία πύου

Κατά τον ακτινογραφικό έλεγχο παρατηρούμε:

  • Το βαθμό της απώλειας οστού
  • Την κατάσταση στις περιοχές συμβολής των ριζών
  • Ο Χώρος του Ιατρείου | Σοφία Μεντή DDs, MSc | Περιοδοντολόγος, Χειρουργός Οδοντίατρος Α.Π.Θ.
Μη Χειρουργική Θεραπεία

Η μη χειρουργική ή συντηρητική θεραπεία εφαρμόζεται σε ασθενείς με ουλίτιδα, αρχόμενα στάδια περιοδοντίτιδας και ως προθεραπεία σε περισσότερο προχωρημένες μορφές περιοδοντίτιδας.

Στόχος της είναι η απομάκρυνση μικροβίων, υπολειμμάτων τροφής και πέτρας από την επιφάνεια των δοντιών και των ριζών τους. Αποτελεί στην ουσία ένα βαθύτερο καθαρισμό, που γίνεται με μεγάλη λεπτομέρεια σε κάθε δόντι ξεχωριστά. Πραγματοποιείται με ένα συνδυασμό υπερήχων και εργαλείων χειρός (ξέστρων), και κατά κανόνα απαιτείται τοπική αναισθησία της περιοχής που θα καθαριστεί, εφόσον προσεγγίζονται βαθύτερα οι ιστοί. Ολοκληρώνεται συνήθως σε τέσσερα έως έξι ραντεβού, αφού το στόμα χωρίζεται σε τμήματα και σε κάθε ραντεβού θεραπεύεται ένα από αυτά.

Μετά από τη συντηρητική θεραπεία αναμένεται βελτίωση της κλινικής εικόνας των περιοδοντικών ιστών, με μείωση ή και εξάλειψη της αιμορραγίας των ούλων, βελτίωση της κινητικότητα των δοντιών, μείωση του βάθους των περιοδοντικών θυλάκων και βελτίωση στο χρώμα και την υφή των ούλων.

Η συντηρητική θεραπεία δεν αποτελεί επίπονη διαδικασία, σπάνια μπορεί να υπάρξει ένας μικρός ερεθισμός των ούλων για μια μέρα, κάτι που αντιμετωπίζεται με απλά παυσίπονα. Ένα αναμενόμενο σύμπτωμα ενδέχεται να είναι η αυξημένη ευαισθησία των δοντιών στο κρύο, λόγω της απομάκρυνσης της τρυγίας (πέτρας) από την επιφάνειά τους. Η οδοντική αυτή υπερευαισθησία αντιμετωπίζεται με ειδικά σκευάσματα οδοντόκρεμας ή ζελέ.

Χειρουργική Θεραπεία

Εφαρμόζεται σε προχωρημένα στάδια περιοδοντικών νόσων, όταν το πρόβλημα εντοπίζεται βαθύτερα στους ιστούς. Συνήθως αφορά μερικά μόνο δόντια και αποσκοπεί στη βελτίωση της πρόσβασης και της ορατότητας για την απομάκρυνση μικροβίων και τρυγίας (πέτρας).

Σε κάποιες περιπτώσεις μπορεί να συνοδευτεί και από μια προσπάθεια ανάπλασης των χαμένων ιστών – κυρίως του οστού-, όταν ενδείκνυται, με τη βοήθεια οστικών μοσχευμάτων και μεμβρανών κολλαγόνου.

Υποστηρικτική Θεραπεία

Μετά τη λήξη της συντηρητικής ή χειρουργικής περιοδοντικής θεραπείας ακολουθεί το στάδιο της υποστηρικτικής θεραπείας. Συνίσταται σε τακτικά ραντεβού (ανά 4-6 μήνες) απλού καθαρισμού για τη συντήρηση του θεραπευτικού αποτελέσματος. Μελέτες καταδεικνύουν πως οι ασθενείς που είναι συνεπείς στο πρόγραμμα των επανελέγχων τους παρουσιάζουν μακροχρόνια σταθερότητα της περιοδοντικής τους κατάστασης. Σε αντίθετη περίπτωση υπάρχει το ενδεχόμενο να συσσωρευτεί ξανά πληθώρα μικροβίων, να επιδεινωθεί η νόσος με την απώλεια επιπρόσθετων ιστών και να οδηγηθεί ο ασθενής σε απώλεια δοντιών. Απαραίτητη ωστόσο θεωρείται και η συμμόρφωση τους ασθενούς με την κατάλληλη υγιεινή σε καθημερινή βάση, την οποία έχει εξατομικεύσει ο περιοδοντολόγος στις ανάγκες κάθε ατόμου.

Περιοδοντίτιδα και Γενική Υγεία
1. Σακχαρώδης Διαβήτης

    Ο μη-ελεγχόμενος σακχαρώδης διαβήτης αποτελεί σημαντικό αιτιολογικό παράγοντα για την εμφάνιση της περιοδοντίτιδας, σε μια σχέση που χαρακτηρίζεται αμφίδρομη. Οι διαβητικοί ασθενείς έχουν μεγαλύτερες πιθανότητες να εμφανίσουν περιοδοντίτιδα, η οποία με τη σειρά της απορυθμίζει τα επίπεδα γλυκαιμικού ελέγχου του ασθενούς.

    Μελέτες καταδεικνύουν πως η θεραπεία της περιοδοντίτιδας οδηγεί στην καλύτερη ρύθμιση του διαβήτη, ενώ και η ρύθμιση του διαβήτη βελτιώνει την πρόγνωση της περιοδοντίτιδας.

    Καλά ρυθμισμένοι ασθενείς αποκρίνονται στην περιοδοντική θεραπεία παρόμοια με τους υγιείς, ενώ οι μη-ρυθμισμένοι υποτροπιάζουν συχνότερα και με μεγαλύτερη βαρύτητα νόσου.

2. Καρδιαγγειακές Νόσοι

    Μελέτες αναφέρουν ότι ασθενείς που πάσχουν από περιοδοντίτιδα εμφανίζουν σχεδόν διπλάσιες πιθανότητες να εμφανίσουν στεφανιαία νόσο ή έμφραγμα του μυοκαρδίου σε σχέση με περιοδοντικά υγιή άτομα.

    Αυτό οφείλεται στο ότι, μικρόβια και τοξίνες που εντοπίζονται στο περιοδοντικό στοματικό περιβάλλον, μέσω της κυκλοφορίας του αίματος, μεταναστεύουν σε διάφορα σημεία του καρδιαγγειακού συστήματος και επιμολύνουν την περιοχή.

    Η Αμερικάνικη Ομοσπονδία Περιοδοντολογίας (ΑΑΡ) σε συνεργασία με την Αμερικανική Καρδιολογική Εταιρία (AHA) έχει εκδόσει οδηγίες και πρωτόκολλα για την αντιμετώπιση των ομάδων κινδύνου των καρδιαγγεικών ασθενών.

3. Κάπνισμα

    Το κάπνισμα αποτελεί τη δεύτερη, κατά σειρά, αιτία εμφάνισης και εξέλιξης της περιοδοντίτιδας, μετά την μικροβιακή πλάκα. Δρα επηρεάζοντας την μικροκυκλοφορία του αίματος στο στοματικό περιβάλλον, μειώνοντας την άμυνα του οργανισμού στους περιοδοντικούς ιστούς.

    Οι καπνιστές:

  • Εμφανίζουν μεγαλύτερα ποσοστά περιοδοντίτιδας και βαρύτερη κλινική εικόνα της νόσου.
  • Εμφανίζουν μικρότερη φλεγμονή και αιμοραγία στα ούλα, με αποτέλεσμα να αποκρύπτονται τα συμπτώματα της νόσου.
  • Χάνουν περισσότερα δόντια σε βάθος χρόνου.
  • Το 80% των περιπτώσεων υποτροπής της νόσου συμβαίνει σε καπνιστές.
  • Παρουσιάζουν μεγαλύτερα ποσοστά αποτυχίας κατά την τοποθέτηση εμφυτευμάτων.
  • Η επίδραση του καπνίσματος είναι, κατά κύριο λόγο, ποσοτική. Οι επιπτώσεις στο περιοδόντιο και τα εμφυτεύματα αυξάνουν όσο μεγαλώνει ο αριθμός των τσιγάρων που καταναλώνονται ημερησίως.

    Η διακοπή του καπνίσματος επαναφέρει σε μερικούς μήνες την άμυνα του οργανισμού στα ίδια επίπεδα με των μη-καπνιστών.

4. Εγκυμοσύνη

    Η ουλίτιδα κύησης εμφανίζεται σε υψηλότατο ποσοστό των γυναικών, ξεκινά στο 2ο με 3ο μήνα της κύησης και αυξάνει σε ένταση μέχρι τον 8ο μήνα. Η κλινική εικόνα παρουσιάζει οιδηματώδη και κόκκινα ούλα, που αιμορραγούν.

    Σπανιότερα εμφανίζονται καλοήθη ογκίδια μεταξύ ούλων και δοντιών, τα οποία ονομάζονται επουλίδες κύησης. Εντοπίζονται συνήθως στην άνω γνάθο κατα το 2ο τρίμηνο και αναπτύσονται γρήγορα. Μετά τον τοκετό μειώνονται σε μέγεθος και συνήθως εξαφανίζονται. Εάν επιμείνουν, αφαιρούνται εύκολα και ανώδυνα από περιοδοντολόγο.

    Όσον αφορά τις περιοδοντικές νόσους, μελέτες ισχυρίζονται ότι έγκυες γυναίκες με περιοδοντίτιδα έχουν μεγαλύτερη πιθανότητα για πρόωρο τοκετό ή γέννηση ελλιποβαρούς νεογνού, σε σχέση με γυναίκες με υγιή ούλα. Η ερευνητική τεκμηρίωση παραμένει, ωστόσο, ανεπαρκής.